Alino Martínez Marcos, Universidad de Castilla-La Mancha; Alicia Flores Cuadrado, Universidad de Castilla-La Mancha; Daniel Saiz Sánchez, Universidad de Castilla-La Mancha; Isabel Úbeda Bañón, Universidad de Castilla-La Mancha; Melania González Rodríguez, Universidad de Castilla-La Mancha; Sandra Villar Conde, Universidad de Castilla-La Mancha y Verónica Astillero López, Universidad de Castilla-La Mancha
Si preguntamos cuál es la estructura más compleja del universo la respuesta es categórica: el cerebro (seamos antropocéntricos y digamos el humano). ¿Por qué?
El divulgador Carl Sagan dijo: “El número total de estrellas en el universo es mayor que todos los granos de arena en todas las playas del planeta tierra”. Hablamos de unos diez sextillones de estrellas, un 1 seguido de 22 ceros (1x10²²). En tamaño, el universo estudiado oscila, según estimaciones, entre los 13 y los 48 millones de años luz.
En comparación, el cerebro humano cuenta con aproximadamente 1x10¹¹ neuronas que se interconectan entre ellas 1x10¹⁵ veces (de manera cambiante). Todo esto con un peso en torno a 1,5 kg y un volumen de 1 300 centímetros cúbicos. Eso basta para decirnos quiénes somos: creencias, preferencias políticas, predilecciones deportivas y de quién nos enamoramos.
En paralelo a su función más importante, garantizar la supervivencia del cuerpo que lo alberga, su desarrollo exponencial lo ha llevado a la paradoja de ser un órgano que trata de entenderse a sí mismo. Esto es lo que hacemos, entre otros, los neurocientíficos, quienes tratamos de responder a la pregunta que supone quizá el mayor reto científico de la historia: ¿cómo funciona el cerebro?
Una nueva perspectiva global en su estudio trata de comprender la complejidad estructural de todas las conexiones neuronales del cerebro y su actividad cambiante: el conectoma.
Descubriendo el cerebro mediante lesiones
Desde el siglo II con Galeno, la estructura y la función de cada parte del cuerpo estaba unida: una lesión en el músculo bíceps impedirá flexionar el codo. En el caso del cerebro, la cosa es más compleja.
Históricamente, no ha existido un conocimiento profundo de lesiones en distintas zonas del cerebro y los síntomas asociados hasta bien entrado el siglo XIX.
En el cuadro de El Bosco Extracción de la piedra de la locura (1501-1505, Museo del Prado), la razón no es médica. Se trata de una metáfora para arrancar la flor del mal, el “demonio”, la lujuria y el resto de los pecados capitales.
En 1861, el cirujano y anatomista Paul Pierre Broca describió dos pacientes que habían perdido su capacidad para hablar. Un paciente solo era capaz de decir cinco palabras. Otro solo podía articular el sonido “tan”. Tras sus fallecimientos, Broca examinó sus cerebros y se dio cuenta de que ambos tenían una lesión en una región del lóbulo frontal izquierdo, la posteriormente conocida como “área de Broca”, cuya lesión provoca una dificultad (afasia) en la elaboración del lenguaje.
Vista lateral del cerebro del paciente
Rordern & Karnath, 2004.
Phineas Gage, sufrió uno de los accidentes más traumáticos que se pueda imaginar al que, sin embargo, sobrevivió. Una explosión accidental, provocó que una barrena de acero de 1,5 m de longitud atravesara su cráneo destruyendo su corteza prefrontral.
Reconstrucción de la lesión sufrida por Phineas Gage.
Damasio et al., Science, 1994.
Veinte años después del accidente, en 1868, John Martyn Harlow, uno de los médicos que lo atendió, publicó un artículo en el que describía los cambios sufridos en el comportamiento del paciente. Antes de la lesión, Gage era un hombre sensato, considerado e inteligente, persistente en la ejecución de los planes que había ideado.
Después del accidente se volvió inquieto, irreverente, manifestaba poca deferencia por sus semejantes y era maleducado cuando se le llevaba la contraria. Realizaba planes a cada momento que nunca culminaba: “Ya no era Gage”.
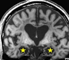
Henry Molaison (H.M.) es quizás el paciente más famoso de la historia de la neurociencia. Como secuela de un accidente cuando era niño, sufría ataques epilépticos muy frecuentes que impedían su vida normal. En 1953, a los 27 años, le extirparon por neurocirugía sus dos hipocampos como tratamiento a su epilepsia.
Esta estructura cerebral se llama así por su similitud con un caballito de mar.
Imagen de resonancia del cerebro de H.M. donde se aprecia la ausencia de sus hipocampos .
McCormick et al., 2018.
Tras la cirugía, H.M. se curó de su epilepsia, pero desarrolló una incapacidad de generar nuevos recuerdos (amnesia anterógrada). Brenda Milner, quien lo trató durante las décadas subsiguientes, tuvo que presentarse a él de nuevo cada mañana.
Al final de su vida, H.M. no era capaz de reconocer su propio rostro (en su cerebro estaba la imagen de cuando él tenía 27 años).
El enfoque masivo
Podría parecer que, en el cerebro, cada región se dedica a una cosa. Sí y no. Hay regiones que realizan funciones concretas, por ejemplo, en el sistema visual.
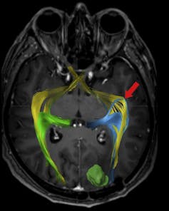
Cada parte de nuestro campo visual está ordenada en las conexiones hasta nuestra corteza visual primaria, en la nuca. Imaginemos que miramos la esfera de un reloj de saetas, una lesión concreta en esta vía puede provocar que dejemos de ver nuestro campo visual entre las 9 y las 12. Más allá de la corteza visual primaria, la información se procesa en distintas áreas para identificar lo que vemos a partir de lo que ya sabemos y la cosa es mucho más complicada.
Imagen tractográfica del sistema visual.
Bertani et al., 2018
El cerebro, en realidad, funciona como un todo siempre activo. Sus conexiones solo se pueden tratar de comprender desde un enfoque holístico, de ahí el término “conectoma”.
El cerebro es una red tridimensional de conexiones entre neuronas que transmiten información mediante actividad eléctrica, que se activa más o menos, pero siempre está funcionando. Imaginemos una playa, siempre hay olas. En el cerebro ocurre algo similar, siempre está activo, también cuando dormimos, y sus olas repercuten más o menos en todas sus partes.
Como buena red, en el cerebro hay grupos de amigos que se siguen y se retuitean, y puntos o noticias con más o menos me gusta que pueden ser trending topic en función del momento.
En el lenguaje conectómico cada amigo sería un nodo, seguir correspondería a una conexión activa, el grupo de amigos, sería un agrupamiento neuronal para una función y los puntos más activos, hubs, serían los centros de conexión especialmente relevantes.
Este tipo de enfoque puede ayudar a entender por qué lesiones en distintas áreas del cerebro pueden provocar los mismos síntomas, porque están afectando a los distintos nodos o conexiones de un agrupamiento neuronal.
Cajal, en Recuerdos de mi vida (1917), dice:
«¡Qué belleza la de las preparaciones obtenidas tras la precipitación de bicromato de plata depositado en exclusiva en los elementos nerviosos! Pero, de otra parte, ¡qué tupidos bosques revelaban, en los que era difícil descubrir las terminaciones de su intrincado ramaje!“.
Para poder ver el bosque es necesario, no tanto que nos alejemos de él, sino que lo miremos con otros ojos.
Alino Martínez Marcos, Catedrático de Anatomía y Embriología Humana, Universidad de Castilla-La Mancha; Alicia Flores Cuadrado, Profesora de Anatomía y Embriología Humana, Universidad de Castilla-La Mancha; Daniel Saiz Sánchez, Profesor contratado doctor interino en el Área de Anatomía y Embriología Humana, Universidad de Castilla-La Mancha; Isabel Úbeda Bañón, Profesora contratada doctor interina del Área de Anatomía y Embriología Humana, Universidad de Castilla-La Mancha; Melania González Rodríguez, Investigadora predoctoral, Universidad de Castilla-La Mancha; Sandra Villar Conde, Investigadora predoctoral, Universidad de Castilla-La Mancha y Verónica Astillero López, Profesora ayudante de Anatomía, Universidad de Castilla-La Mancha
Este artículo fue publicado originalmente en The Conversation. Lea el original.